Disease Ecology in Farming Systems
We are investigating the transmission of parasites and pathogens that affect livestock health, or that impact human health (e.g. food-borne illness) in the contexts of landscape, wildlife and farming systems.
Host-Ectoparasite Immunological Interactions
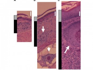
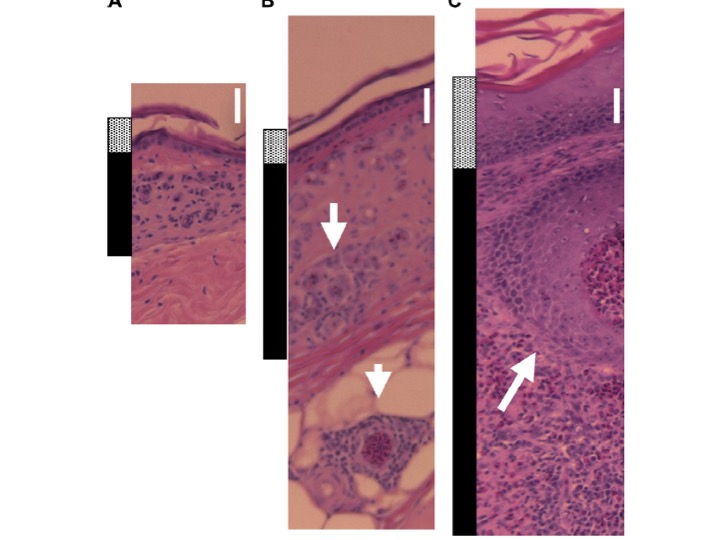
We have ongoing studies in a variety of avian and mammalian systems that are exploring how vertebrate immunological responses affect blood feeding arthropods and pathogen transmission.
STEAM Education
We work with a multidisciplinary team from science education, educational psychology, medicine, and youth development to design curricula for youth in science, technology, engineering, art, and math (STEAM) disciplines. This work aims to teach young learners about infectious disease systems.








