Historically, P-proteins have been defined as “proteinaceous material in the phloem which is sufficiently characteristic when observed with the electron microscope to warrant a special term” (Cronshaw, (1975) P-Proteins. In: Phloem Transport (eds S. Aronoff, J. Dainty, P.R. Gorham, L.M. Srivastava, & C.M. Swanson), pp. 79-115. Plenum, New York, London. Thus, this term mostly refers to structural proteins. A variety of other proteins withing the phloem sap have been described. Since they are soluble and not visible in the transmission electron microscope, they do not strictly qualify as P-proteins.
P-proteins have been devided into two major groups:
- A) Non dispersive P-protein bodies: Non dispersive P-protein bodies are formed early during ontogeny (ontogeny = the development of individual cells or organisms) in young sieve tubes. Once the sieve element matures, the sieve pores open and they become active in translocation, non-dispersive P-protein bodies remain as visible, large bodies within the sieve tube. A typical example are forisomes (see link on the left to learn more about forisomes). About 10% of the Angiosperm species contain non-dispersive P-proteins.
- B) Dispersive P-protein bodies: In the rest of the angiosperms (about 90%), the initial development of P-protein bodies follows the same principle. However, once the sieve element matures, the bodies do not remain in the lumen of the tube, but disperse into fine filaments.
With the exception of the forisomes, the function of P-proteins is still obscure.

Non dispersive P-protein bodies (asterisk) as seen in the confocal microscope (left) and the transmission electron microscope (right). SE= sieve element, CC = companion cell. From Knoblauch et al. (2001) Calcium regulated stopcocks in legume sieve tubes. Plant Cell 13, 1221 – 1230. Copyright American Society of Plant Biologists

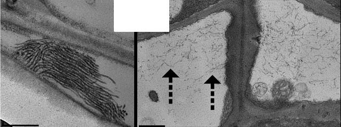
A bundle of filaments (left) and individual filaments (right) in mature sieve elements, derived from dispersive P-protein bodies. From Froelich et al. (2011) Phloem ultrastructure and pressure flow: SEOR protein agglomerations do not affect translocation. Plant Cell doi/10.1105/tpc.111.093179 Copyright American Society of Plant Biologists